
Kompaktkurs Parodontologie mit intensiven Hands-On-Übungen
Der Kompaktkurs vermittelt in drei Tagen praxisnahe Konzepte für nicht-chirurgische und chirurgisch parodontologische Techniken.
Der Kompaktkurs vermittelt in drei Tagen praxisnahe Konzepte für nicht-chirurgische und chirurgisch parodontologische Techniken.
Gutachter-Curriculum Start im Oktober 2026
Curriculum für Zahnärztinnen/Zahnärzte, die sich für eine Gutachter-Tätigkeit interessieren und das Handwerkszeug hierzu kennenlernen wollen.
Curriculum für Zahnärztinnen/Zahnärzte, die sich für eine Gutachter-Tätigkeit interessieren und das Handwerkszeug hierzu kennenlernen wollen.
Tag der Akademie 2026 München und Nürnberg
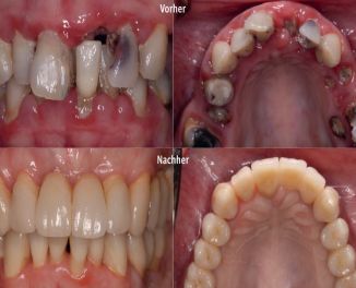
Michael Stimmelmayr stellt ein vielfach erprobtes Konzept für eine erfolgreiche prothetisch-implantologische Therapie vor.
Michael Stimmelmayr stellt ein vielfach erprobtes Konzept für eine erfolgreiche prothetisch-implantologische Therapie vor.
Chirurgie Online-Serie Einstieg jederzeit noch möglich
In neun Online-Vorträgen erhalten Sie Tipps und Tricks zur Umsetzung der wichtigsten basis-chirurgischen Maßnahmen im Praxisalltag.
In neun Online-Vorträgen erhalten Sie Tipps und Tricks zur Umsetzung der wichtigsten basis-chirurgischen Maßnahmen im Praxisalltag.
Schwäbisches Herbstsymposium 21.11.2026, Online-Kongress
Praxisnahe Online-Fortbildung des Zahnärztlichen Bezirksverbands Schwaben für Zahnärztinnen und Zahnärzte
Praxisnahe Online-Fortbildung des Zahnärztlichen Bezirksverbands Schwaben für Zahnärztinnen und Zahnärzte
Abrechnungsmanager/in eazf Nächster Kursstart im September
Abrechnung zahnärztlicher Leistungen professionell und rechtssicher durchführen - Berufsbegleitend in nur 4 Monaten!
Abrechnung zahnärztlicher Leistungen professionell und rechtssicher durchführen - Berufsbegleitend in nur 4 Monaten!
Qualitätsmanagementbeauftragte/r 4-Tage-Lehrgang zur/zum QMB
Der Kurs vermittelt praxisorientiert die Kenntnisse zum QM. Er umfasst die Bereiche QM, Hygienemanagement und Arbeitssicherheit.
Der Kurs vermittelt praxisorientiert die Kenntnisse zum QM. Er umfasst die Bereiche QM, Hygienemanagement und Arbeitssicherheit.
Hygienebeauftragte/r eazf 3-Tage-Lehrgang praxisorientiert
Der Kurs vermittelt praxisorientiert umfassende Kenntnisse einschl. praktischer Übungen zur Erstellung von Dokumenten am PC.
Der Kurs vermittelt praxisorientiert umfassende Kenntnisse einschl. praktischer Übungen zur Erstellung von Dokumenten am PC.
Niederlassung / Praxisübergabe München, Nürnberg, Regensburg
Die Seminare beantworten wichtige Fragen zu Niederlassung und Praxisabgabe. Unabhängig, fachkundig, praxisnah!
Die Seminare beantworten wichtige Fragen zu Niederlassung und Praxisabgabe. Unabhängig, fachkundig, praxisnah!
Kurse zur Unternehmensführung Unternehmerkompetenzen stärken!
Experten erklären verständlich wichtige Themen rund um betriebswirtschaftliche, steuerliche und juristische Fragen.
Experten erklären verständlich wichtige Themen rund um betriebswirtschaftliche, steuerliche und juristische Fragen.

Kompaktkurs Parodontologiemit intensiven Hands-On-Übungen
Der Kompaktkurs vermittelt in drei Tagen praxisnahe Konzepte für nicht-chirurgische und chirurgisch parodontologische Techniken.
mehr...
Der Kompaktkurs vermittelt in drei Tagen praxisnahe Konzepte für nicht-chirurgische und chirurgisch parodontologische Techniken.
mehr...
Gutachter-CurriculumStart im Oktober 2026
Curriculum für Zahnärztinnen/Zahnärzte, die sich für eine Gutachter-Tätigkeit interessieren und das Handwerkszeug hierzu kennenlernen wollen.
mehr...
Curriculum für Zahnärztinnen/Zahnärzte, die sich für eine Gutachter-Tätigkeit interessieren und das Handwerkszeug hierzu kennenlernen wollen.
mehr...
Tag der Akademie 2026München und Nürnberg
Michael Stimmelmayr stellt ein vielfach erprobtes Konzept für eine erfolgreiche prothetisch-implantologische Therapie vor.
mehr...
Michael Stimmelmayr stellt ein vielfach erprobtes Konzept für eine erfolgreiche prothetisch-implantologische Therapie vor.
mehr...
Chirurgie Online-SerieEinstieg jederzeit noch möglich
In neun Online-Vorträgen erhalten Sie Tipps und Tricks zur Umsetzung der wichtigsten basis-chirurgischen Maßnahmen im Praxisalltag.
mehr...
In neun Online-Vorträgen erhalten Sie Tipps und Tricks zur Umsetzung der wichtigsten basis-chirurgischen Maßnahmen im Praxisalltag.
mehr...
Schwäbisches Herbstsymposium21.11.2026, Online-Kongress
Praxisnahe Online-Fortbildung des Zahnärztlichen Bezirksverbands Schwaben für Zahnärztinnen und Zahnärzte
mehr...
Praxisnahe Online-Fortbildung des Zahnärztlichen Bezirksverbands Schwaben für Zahnärztinnen und Zahnärzte
mehr...
Abrechnungsmanager/in eazfNächster Kursstart im September
Abrechnung zahnärztlicher Leistungen professionell und rechtssicher durchführen - Berufsbegleitend in nur 4 Monaten!
mehr...
Abrechnung zahnärztlicher Leistungen professionell und rechtssicher durchführen - Berufsbegleitend in nur 4 Monaten!
mehr...
Qualitätsmanagementbeauftragte/r4-Tage-Lehrgang zur/zum QMB
Der Kurs vermittelt praxisorientiert die Kenntnisse zum QM. Er umfasst die Bereiche QM, Hygienemanagement und Arbeitssicherheit.
mehr...
Der Kurs vermittelt praxisorientiert die Kenntnisse zum QM. Er umfasst die Bereiche QM, Hygienemanagement und Arbeitssicherheit.
mehr...
Hygienebeauftragte/r eazf3-Tage-Lehrgang praxisorientiert
Der Kurs vermittelt praxisorientiert umfassende Kenntnisse einschl. praktischer Übungen zur Erstellung von Dokumenten am PC.
mehr...
Der Kurs vermittelt praxisorientiert umfassende Kenntnisse einschl. praktischer Übungen zur Erstellung von Dokumenten am PC.
mehr...
Niederlassung / PraxisübergabeMünchen, Nürnberg, Regensburg
Die Seminare beantworten wichtige Fragen zu Niederlassung und Praxisabgabe. Unabhängig, fachkundig, praxisnah!
mehr...
Die Seminare beantworten wichtige Fragen zu Niederlassung und Praxisabgabe. Unabhängig, fachkundig, praxisnah!
mehr...
Kurse zur UnternehmensführungUnternehmerkompetenzen stärken!
Experten erklären verständlich wichtige Themen rund um betriebswirtschaftliche, steuerliche und juristische Fragen.
mehr...
Experten erklären verständlich wichtige Themen rund um betriebswirtschaftliche, steuerliche und juristische Fragen.
mehr...
Kompaktkurs Parodontologie
mit intensiven Hands-On-Übungen
mit intensiven Hands-On-Übungen
Gutachter-Curriculum
Start im Oktober 2026
Start im Oktober 2026
Tag der Akademie 2026
München und Nürnberg
München und Nürnberg
Chirurgie Online-Serie
Einstieg jederzeit noch möglich
Einstieg jederzeit noch möglich
Schwäbisches Herbstsymposium
21.11.2026, Online-Kongress
21.11.2026, Online-Kongress
Abrechnungsmanager/in eazf
Nächster Kursstart im September
Nächster Kursstart im September
Qualitätsmanagementbeauftragte/r
4-Tage-Lehrgang zur/zum QMB
4-Tage-Lehrgang zur/zum QMB
Hygienebeauftragte/r eazf
3-Tage-Lehrgang praxisorientiert
3-Tage-Lehrgang praxisorientiert
Niederlassung / Praxisübergabe
München, Nürnberg, Regensburg
München, Nürnberg, Regensburg
Kurse zur Unternehmensführung
Unternehmerkompetenzen stärken!
Unternehmerkompetenzen stärken!





























